歯のマニキュア
Manicure
歯のマニキュア(ホワイトコート)
『審美歯科』
当院では歯科治療だけでなく、『歯をキレイにしたい方』との『コミュニケーション』を大切にしています。
1回ですぐに白い歯に
歯のマニキュアは1回の通院処置で前歯すべてを、すぐに白い歯にすることができます。
痛みを伴うことなくメイク感覚で歯を白くすることができますが、治療ではありません。
当院の『歯のマニキュア』は歯科用充填剤の技術を応用した歯面コーティング材料(ホワイトコート)です。
(ホワイトコートは管理医療機器材料なので歯科医院の管理の元でないと使用できません。)
| 治療の内容 | 上前歯6本に歯のマニキュアを行っています。 |
|---|---|
| トータルの治療費用 | 20,000円(税別) |
| 通院回数や治療期間 | 通院1回 時間40~60分程度 |
| 主なリスクや副作用 | ホワイトコートは歯科医院での除去が必要になります。 虫歯や歯肉炎になってしまったり、ダメージしてしまうので、長期間の使用や繰り返しの使用には注意が必要です。 |
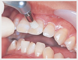
歯のマニキュアの手順
①歯のマニキュアを塗るため前歯の表面を清掃します。
健康な歯を削ったりはしません。むし歯などは事前に治療した方が良いとされています。むし歯や汚れがひどい場合は即日の処置ができないケースがあります。
②歯の表面をコーティングします。
専用の器具や特殊な接着材料を用いて、歯の表面(前面)を白くコーティングしレーザーで処置します。
③ツヤの出る薬剤とレーザーで処置します。
表面をツヤの出る薬剤で仕上げてレーザーで処置します。
④歯のマニキュアのメインテナンス
効果持続は3か月程度です。3か月程度での除去が必要です。
歯のマニキュアは次のようなご希望に対応出来ます。
- ホワイトニングで白くするのための2~4週間の時間が取れない方
- ホワイトニング以上に真っ白な歯にしたい方
- ブライダル直前で応急的に白い歯にしたい方
- 舞台や発表会のために応急的に白い歯にしたい
- 取材や写真撮影時に応急的に白い歯にしたい
- 大事な御用事の直前に応急的に白い歯にしたい方
- 一時的に白い歯にしたいけど、後で元通りにしたい方
- 黒っぽい前歯を全部まとめてとりあえず白くしたい
- ためしに前歯を白くしてみようかな?
- 審美歯科治療の相談するキッカケが欲しい方
- 今すぐに白い歯にしたい
- 歯を削ったりせずに白い歯にしたい方 (歯のマニキュアはお化粧のような処置で、治療ではありません。)
治療費
歯のマニキュア(ホワイトコート)
| 上前歯6本まで ※上前歯専用です。下前歯には行えません。 |
20,000円(税別) |
|---|---|
| 1本 | 5,000円(税別) |
| 除去1本 | 1,000円(税別) |
歯のマニキュアに関するよくあるご質問
- ホワイトコート(歯のマニキュア)ってなんですか?
- 歯の表面に特殊な光で固まるプラスチック材料を薄くコーティングすることで、元々の歯の色味を隠しながら、白いツヤのある歯に仕上げることができます。
- どのように行いますか?
- 歯に専用の接着剤を塗布し、希望する色調を塗って固めます。仕上げに透明で光沢のある樹脂を塗って光で固めます。
- 色は選べますか?
- 何色かから選ぶことができますが、隣の歯と色味を合わせたりは難しいです。
- 痛くないですか?歯を傷つけませんか?
- 治療ではありませんので、基本的に歯を削ったり強い薬剤を使ったりしませんので、術後の痛みはありません。
長期間の使用や繰り返しの使用を行うと、歯がダメージしてしまうので注意が必要です。
また、除去する時(剥がす時)にも歯に負担がかかります。 - 神経のない黒っぽい歯は白く出来ますか?
- 色味の調整が少し難しくなりますが、専用の色味材料を選択し、黒っぽさを隠して白い歯にできます。
- 銀歯も白く出来ますか?
- 銀歯の表面も白い歯にできます。
ホワイトコートは噛み合う部分には使用できませんが、上の歯の銀歯の表面だけを白くコーティングすることは可能です。
ただし銀歯やセラミックのコーティングは剥がれ易いです。
治療の内容 左上の銀歯1本の歯のマニキュアを行いました。 トータルの治療費用 5,000円(税別) 通院回数や治療期間 通院1回 時間20~40分程度 主なリスクや副作用 ホワイトコートは天然歯やプラスチックには問題なく接着しますが、セラミックや金属には接着力が弱くなってしまいます。
当院では特別に接着剤を変えて対処していますが、一般的に取れやすいとされています。 - 身体に悪くないですか?
- ホワイトコートはむし歯治療に使う材料と同じような品質ですので、万が一飲み込んだりしても悪い影響などはないとされています。
ただし長期間の使用や繰り返しの使用を行うと、歯がダメージしてしまうので注意が必要です。
また、除去する時(剥がす時)にも歯に負担がかかります。 - 下の歯にも塗れますか?
- ホワイトコートは本来上の前歯専用の材料です。
噛み合わせが変わってしまうので、上の歯と咬み合う部分には塗れません。
下の歯でも噛み合う部分を避けて表面だけ塗ることはできると思います。ただし非常に剥がれやすいです。

- 妊娠、授乳中でもできますか?
- ホワイトコートは麻酔や薬効のある薬品は使用しません。むし歯治療と同じ品質の材料です。
影響はないと考えられますが、ガイドラインとしては安定期以外では使用は避けるようにします。 - ホワイトコートを剥がした歯への影響は?
- 原則としては元通りに剥がすことができます。
ただし長期間の使用や繰り返しの使用を行うと、歯がダメージしてしまうので注意が必要です。
また、除去する時(剥がす時)にも歯に負担がかかるので、欠けたりヒビが入ったりすることがあります。
歯のマニキュア(ホワイトコート)の注意点
- ホワイトニング直後1週間は歯のマニキュア(ホワイトコート)ができません
- ホワイトニング剤にはホワイトコートの接着を妨げる成分が含まれるため、直後は避けています。ホワイトコートをご希望の際には1週間前にはホワイトニングを中止してください。
- 使っているマウスピースが入らなくなります
- ホワイトコートを塗った分の厚みが少し出ます。
今現在使っている場合にはマウスピース矯正、スポーツマウスピース、ホワイトニング用マウスピースなどは使えなくなってしまいます。 - セラミック歯や金属歯に対するホワイトコートは非常に剥がれやすいです
- ホワイトコートは天然歯やプラスチックには問題なく接着しますが、セラミックや金属には接着力が弱くなってしまいます。
当院では特別に接着剤を変えて対処していますが、一般的に取れやすいとされています。 - ホワイトコートの耐用期間は3ヶ月程度
- ホワイトコートは歯科医院での除去が必要になります。
他院様でホワイトコートした後、1年や5年そのまま使えていた方が来院されることがあります。問題ないケースもありますが、虫歯や歯肉炎になってしまったり、ダメージしてしまうので、長期間の使用や繰り返しの使用には注意が必要です。 - 歯のマニキュア除去をご希望の方
- 当院で行ったホワイトコートは安全に取り外せる範囲で適切に行っておりますが、他院様での歯のマニキュアは材料や接着剤がどういったものなのか?適切に処置してあるものなのか?判断できません。
簡単にきれいに除去できない場合があります。
除去時に歯が欠けたり折れたりしてしまう場合があります。
他院様による歯のマニキュアの除去に関しても承っておりますが、状況によっては責任をお取りしづらいケースもございます。
まずは状態を実際に拝見させていただければと思います。