削らないラミネートべニアのメインビジュアル
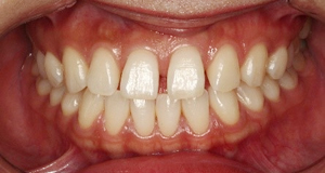
アクセスしやすい立地を訴求したメインビジュアル
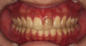
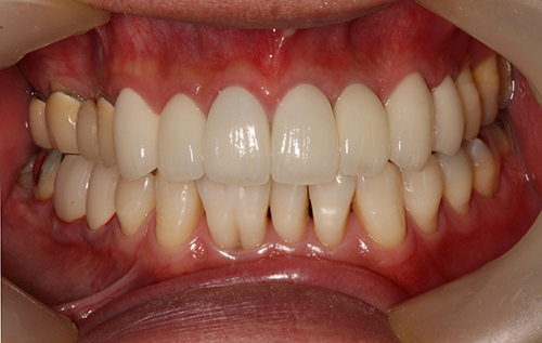
施術症例を訴求したメインビジュアル

歯をできるだけ削らない方法・

健康的な審美歯科

5DENTAL東京銀座では、審美歯科に力を入れています。

当院では、「より低侵襲で体に優しい、健康を犠牲にしないような審美歯科」が望ましいと考えています。

審美歯科の選択肢として、ホワイトニングやマウスピース矯正、セラミックや削らないラミネートベニアなど、「歯をできるだけ削らない方法」で「健康的な方法」を提案します。

ラミネートベニア 東京エリアの評価 No.1 削らないラミネートベニア 施術症例数 10,000以上 遠方からでもアクセスしやすい立地 銀座出口直結

Cases

症例紹介

失活歯/変色歯

術 前 術 後
術前 失活歯/変色歯
術後 失活歯/変色歯

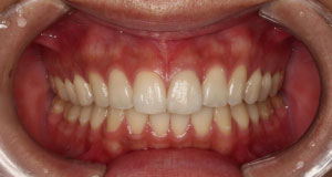
左上1の変色歯を全体的にホワイトニングしてからのセラミッククラウン1本で改善しました。左上1は失活歯(神経のない歯)で変色していました。

全体的にホワイトニングを行い、左上1はセラミッククラウンにし、全体的に統一感と清潔感のある仕上りにしました。

【治療名】左上1 セラミッククラウン + ホワイトニング
【治療期間】1.5ヶ月

【費用】240,900円(税込)

【リスク・副作用】セラミッククラウンは歯を削って被せる方法です。上前歯中央(中切歯)の補綴物は色や形に高い完成度が求められます。色の修正や作り直しで回数をかける場合があります。状況によって術後に、疼痛・咬合時痛・冷水痛など、生じることがあります。

 

他の施術事例を見る

テトラサイクリン歯が気になる

術 前 術 後
術前 テトラサイクリン歯
術後 テトラサイクリン歯

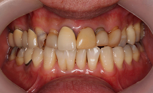
削らないラミネートベニアでテトラサイクリン歯(グレー系の歯)の色を改善した症例です。事前にホワイトニングを行い、ご自身の歯の色をできるだけ改善してからラミネートベニアを行いました。透明感を出すことで、周りの歯になじむ自然な仕上がりになりました。

テトラサイクリン歯の色調には個人差があります。グレー色が濃い方、帯状の模様が強い方は事前にホワイトニングを行い、歯の色をできるだけキレイにしてからラミネートベニアを行うようにしています。またテトラサイクリン歯でも不透明なベニアを選択すれば白くすることができます。この症例では、あえて透明なベニアで歯の色が透けることで自然と調和するようにしています。

【治療名】上前歯8本 ラミネートベニア + ホワイトニング
【治療期間】1.5ヶ月

【費用】575,000円(税込)

【リスク・副作用】テトラサイクリン歯の色調には個人差があります。グレー色が濃い方、帯状の模様が強い方は事前にホワイトニングを行い、歯の色をできるだけキレイにしてからラミネートベニアを行うようにしています。テトラサイクリン歯でも不透明なベニアを選択すれば白くすることができます。この症例では、あえて透明なベニアで歯の色が透けることで自然と調和するようにしています。
状況によって術後に、疼痛・咬合時痛・冷水痛などを生じる事があります。また、ホワイトニング後に痛みがでる場合があります。

 

他の施術事例を見る

詰め物の変色

術 前 術 後
術前 詰め物の変色
術後 詰め物の変色

削らないラミネートベニアで歯の色を改善した症例です。右上1は失活歯(神経のない歯)で、グレーに変色していました。周りの歯はCRの充填物が変色・着色していました。

全体的にオフィスホワイトニングとホームホワイトニングを行ってからラミネートベニアを行いました。このような支台の色にバラつきのあるケースでは、仕上がりの色を統一するためにあえてラミネートベニアの透明感を抑えて製作します。

【治療名】上前歯6本 ラミネートベニア+ホワイトニング
【治療期間】1.5ヶ月

【費用】375,000円(税込)

【リスク・副作用】削って被せるクラウンに比べてラミネートベニアは、元々の歯の色や状態が仕上がりに大きく影響します。状況によって術後に、疼痛・咬合時痛・冷水痛などを生じる事があります。

 

他の施術事例を見る

すきっ歯/矮小歯

術 前 術 後
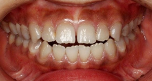
術前 すきっ歯/矮小歯
術後 すきっ歯/矮小歯

削らないラミネートベニアで歯の色・すきっ歯・歯の形を改善した症例です。お口元がとても美しくなりました。

すきっ歯の改善はラミネートベニアが最も得意とする症例の1つです。歯の隙間をなくし、スマイルラインに沿った美しい仕上がりになりました。ラミネートベニアの色は明るい白を選ばれ、お口元の印象がすごく整いました。

【治療名】上前歯6本 ラミネートベニア
【治療期間】3週間

【費用】412,500円(税込)

【リスク・副作用】削らないラミネートベニアは削らないので接着するので、元の歯よりも少し厚く大きくなります。この症例のように歯を大きくすることはできますが、歯を小さくしたり出っ歯は治せません。

 

他の施術事例を見る

歯を真っ白にする

術 前 術 後
術前 歯を真っ白にする
術後 歯を真っ白にする

削らないラミネートベニアですきっ歯・矮小歯を改善し、歯を白くした症例です。歯肉整形と削らないラミネートベニア8本を行いました。

※ラミネートベニアはすきっ歯を埋めることはできますが、出っ歯や歯の出っ張りを引っ込めることはできません。出っ歯や歯の出っ張り部分を削れば、歯の形を修正することもできます。

※下前歯にはラミネートベニアを行えません。ホワイトニングかセラミッククラウンの選択肢になります。

 

他の施術事例を見る

差し歯の色

術 前 術 後
術前 差し歯の色
術後 差し歯の色

前歯の古いクラウンや虫歯の治療を、セラミッククラウンにて行いました。セラミッククラウンは歯肉の境目がキレイに健康に治療することができます。

*虫歯や歯肉の状態が悪ければ、セラミック治療の前に虫歯治療や歯周病治療を行う必要があります。

【治療名】上前歯7本 セラミッククラウン
【治療期間】約6週間

【費用】1,080,000円(税別)

【リスク・副作用】セラミッククラウンは歯を削って被せる方法です。上前歯中央(中切歯)の補綴物は色や形に高い完成度が求められます。色の修正や作り直しで回数をかける場合があります。状況によって術後に、疼痛・咬合時痛・冷水痛など生じる事があります。

 

他の施術事例を見る

歯並びが気になる

術 前 術 後
術前 歯並びが気になる
術後 歯並びが気になる

削らないラミネートベニアで歯の形、すきっ歯の歯並びを改善した症例です。すきっ歯で前歯の軸が右に曲がっていました。

全体的にホワイトニングをしてから、削らないラミネートベニア6本を行いました。

【治療名】上前歯7本 セラミッククラウン
【治療期間】3週間

【費用】375,000円(税込)

【リスク・副作用】ラミネートベニアはすきっ歯を埋めることはできますが、出っ歯や歯の出っ張りを引っ込めることはできません。出っ歯や歯の出っ張り部分を削れば、歯の形を修正することもできます。状況によって術後に、疼痛・咬合時痛・冷水痛な生じるどを事があります。

 

他の施術事例を見る

出っ歯/八重歯

術 前 術 後
術前 出っ歯/八重歯
術後 出っ歯/八重歯

歯肉整形とセラミッククラウンでガミースマイルと前歯の審美性を改善した症例です。

上前歯8本に歯肉整形をして、上前歯中央4本にセラミッククラウンを行いました。

【治療名】上前歯4本 セラミッククラウン + 歯肉整形
【治療期間】2ヶ月

【費用】616,000円(税込)

【リスク・副作用】当院で行える歯肉整形は比較的に軽度なガミースマイルが対象です。口腔外科や美容外科で行っているような骨切り手術(Le Fort手術)や口唇粘膜を切開縫合する手術などは対応していません。状況によって術後に、疼痛・咬合時痛・冷水痛などを生じる事があります。

 

他の施術事例を見る

歯を大きくしたい

術 前 術 後
術前 歯を大きくしたい
術後 歯を大きくしたい

削らないラミネートベニアで歯の色・歯の形・ガミースマイル(歯肉が見える)を改善した症例です。

ガミースマイル改善のために歯肉整形(歯肉を切る処置)を、全体にはホワイトニングをしました。そのうえで前歯8本にラミネートベニアを行っています。

【治療名】上前歯8本 ラミネートベニア + 歯肉整形
【治療期間】1.5ヶ月

【費用】632,500円(税込)

【リスク・副作用】削らないラミネートベニアは削らないで接着するので、元の歯よりも少し厚く大きくなります。(この症例のように歯を大きくすることはできますが、歯を小さくしたり出っ歯は治せません。)セラミッククラウンに比べると色味の調整がしずらく、透明感が出しにくいです。なので1本だけで治すのには向きません。6本や8本で行うことが多いです。当院で行える歯肉整形は比較的に軽度なガミースマイルが対象です。口腔外科や美容外科で行っているような骨切り手術(Le Fort手術)や口唇粘膜を切開縫合する手術などは対応していません。

 

他の施術事例を見る

Feature

当院の特徴

院内の雰囲気

をできるだけ削らない、

体の健康を優先した治療

自然歯をなるべく残した審美治療を心がけています。当院が得意とするラミネートべニアは、低侵襲・短期間での治療が可能で、多くの方にご好評いただいています。

治療設備

品質な環境と、

治療設備

EPIOS殺菌水システムの導入により、清潔で安全な治療環境を整えています。さらに、最新のデジタル技術を活用し、精密かつ効率的な治療を提供しています。

EPIOS殺菌水システムのご紹介
銀座駅出口

座駅出口直結の、

アクセスの良さ

当院は東京メトロ銀座駅直結、JR有楽町駅徒歩4分の好立地にあります。この利便性から、都内外を問わず多くの患者様にご来院いただいています。

当院へのアクセス方法を確認
当院の特徴へ
院長 阿部 洋太郎

歯科医師・博士(歯学)

阿部 洋太郎

Yotaro Abe

Doctor

院長紹介

患者様により優れた治療を提案できる

クリニックに。

当院では、負担の少ない治療を心がけており、特にセラミック治療に力を入れています。歯をほとんど削らずに自然な美しさを引き出せるラミネートベニアにおいても、多くの患者様からご支持いただいております。

最新の治療が最良の治療とは考えていませんが、患者様により優れた治療を提案できるクリニックでありたいと思います。

より良い治療を受けたいと考えている方、是非ご相談ください。

スタッフ紹介へ

Column

コラム

コラム一覧へ

Information

医療法人社団ever

5DENTAL東京銀座

〒104-0061 東京都中央区銀座5-1 GINZA5 2F

東京メトロ銀座駅 C-1出口直結
東京メトロ日比谷駅 A1出口より徒歩2分
JR有楽町駅 銀座口より徒歩3分