入れ歯/ブリッジ

Denture

入れ歯/ブリッジ

入れ歯/ブリッジ

ノンクラスプデンチャー <金属の止め具のない入れ歯>

ノンクラスプデンチャー

目立たない。やわらかいのに丈夫。 しなやかで快適。 今までの部分入れ歯とは、発想が違います。

ほとんど目立ちません。

従来の入れ歯との比較

金属の止め具がなく、口の中と同じ色をした半透明性の素材を使いますので目立ちません。金属アレルギーに敏感な方にもおすすめです。

やわらかいのに丈夫です。

従来の入れ歯との比較

丈夫でしなやか。長持ちしやすい入れ歯です。曲げても元に戻ります。

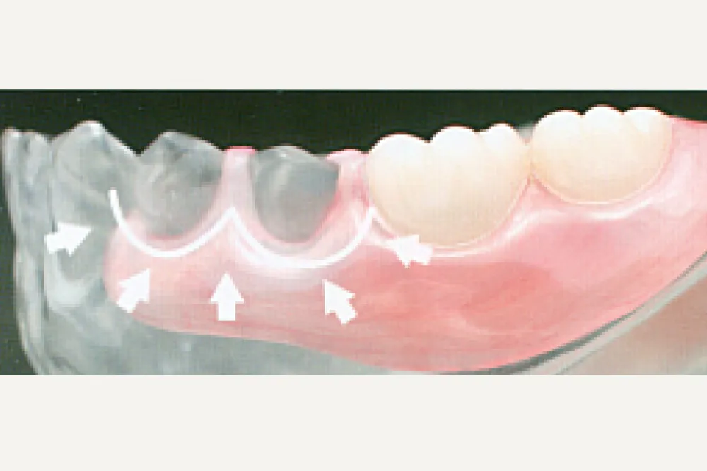
しっかりホールド。とても薄く、軽い。

ホールド状態

歯茎から包み込む形状で、しっかり安定。さらに、丈夫でしなやかだから今までの入れ歯よりもかなり薄い入れ歯です。しかも超軽量。

しなやかフィット!

しなやかさが、お口の中で安定を守ります。

治療の内容

歯の欠損部に対する取り外しの入れ歯

リスク・副作用

歯や歯周組織の変化によって経年的な適合不良が起こります。

治療期間の目安

3~6週間程度

治療回数の目安

2~4回程度

治療費総額の目安

小さい部分入れ歯で80,000~180,000円程度
大きな広範囲の入れ歯で300,000~480,000円程度